發布時間:2022-07-01 瀏覽:4465 次
PLD7900多功能動態DR雙板系列配備一動一靜兩塊平板探測器,靜態攝影時使用靜態板,動態檢查時使用動態板,專板專用,高效專業,全面滿足攝影、透視、造影等多種臨床檢查需求。

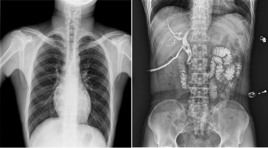
高幀動態平板,快速獲得高清影像。線性探測平面,圖像無畸變、無失真;17×17英寸超大視野,透視幅面大,一幅畫面即可覆蓋成年人的全胸全腹;30幀/s采集幀速,畫面流暢無卡頓;1800W高清像素點片,影像質量攀升新高度;并且能夠在毫秒級時間內進行動靜態影像切換,實時點片,快速捕捉病灶部位。

可移動平板,輕松實現特殊體位拍攝。自由移動,擺位更靈活,滿足輪椅位、擔架位等特殊體位的離床攝影;滿足全身各部位攝影需求,尤其對頸椎張口位、跟骨軸位、髕骨軸位等特殊難拍攝位置更具優勢;SID 1m-1.8m全覆蓋,滿足專業塵肺檢查需求。

雙板配置,至臻成像
專板專用,精準高效。靜態攝影時使用靜態板,動態檢查時使用動態板,專板專用,精準高效,并且動靜態雙板可實現毫秒級選板切換,大幅提升臨床檢查效率,滿足大批量體檢需求。