發布時間:2024-10-25 瀏覽:1973 次
普利德動態平板DRF以其優異的影像質量、卓越的產品性能和便捷的臨床操作,在業內贏得了廣泛贊譽和信賴。近日,該設備再次獲得三甲醫院的青睞,成功入駐喀什地區第一人民醫院,進一步提升醫院精準診療能力。

喀什地區第一人民醫院始建于1934年,是集醫療、急救、教學、科研、預防、康復、保健于一體的全疆規模最大的綜合三級甲等醫院,承擔著喀什地區、兵團第三師農牧團場及克州、和田、阿克蘇等地州毗鄰縣鄉600多萬人的醫療保健服務。
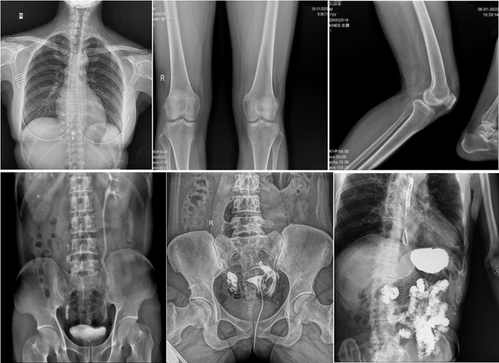
普利德動態平板DRF作為普放領域最新技術的代表,融合了攝影、透視和造影等多功能于一體,并能在可視化條件下進行高清點片,有效減少了傳統靜態DR盲拍造成漏診和誤診的風險。其17×17英寸大幅面成像,能夠通過一次曝光實現胸部、腹部全覆蓋。設備支持最高30幀/秒的采集幀率,確保了動態影像的流暢性,便于醫生觀察細微病變,提升診斷精準性。
此外,普利德動態平板DRF獨特實用的床面升降功能以及智能靈活的機械多維運動,可輕松適應各種特殊體位和角度的拍攝需求,也極大簡化了臨床操作流程,顯著提升了檢查效率。

在實際應用中,普利德動態平板DRF展現出了多種優勢。例如,在胸部影像檢查中,它清晰顯示肺部紋理和結節,為肺癌早期篩查提供有力支持;在骨科領域,可用于骨折的診斷和復位效果評估,幫助醫生制定更精準的治療方案;在消化系統檢查中,能有效發現胃腸道疾病的異常。
在婦科方面,不僅能夠直觀的觀察子宮形態、大小,輸卵管各部有無扭曲、管腔粘連以及梗塞情況,還可以在加壓推注下,使部分輸卵管輕、中度堵塞的患者得以通暢,起到有效的治療作用。

此次成功裝機,是對普利德動態平板 DRF 產品質量與性能的有力肯定。未來,我們將繼續關注臨床診斷需求,不斷提升產品質量和服務水平,為更多醫療機構提供優質的動態DR產品,助力醫療事業的發展,為廣大患者的健康保駕護航!