發布時間:2022-07-09 瀏覽:2397 次
X線攝影技術自誕生之日起,便在全球范圍內得到了廣泛的應用,并成為現代醫學影像檢查的基礎。二十年來,X線攝影技術經歷了數代的技術躍升,極大地提升了影像的清晰度與精準性,對于臨床應用有著重要的價值。首先,我們大致回顧一下X線攝影技術的發展脈絡:
2000年:間接數字化X線攝影技術(CR):影像板作為探測器工具,僅需一次曝光即可完成影像采集,無需暗室,相對于之前的膠片攝影來說,是一次巨大的技術飛躍。 2004年:直接數字化X線攝影技術(CCD-DR):基于CCD探測器獲得了快速發展,開啟了直接數字化X線攝影序幕,具有更快的成像速度、更便捷的操作、更高的成像分辨率。2010年:平板直接數字化X線成像技術:基于非晶硅平板探測器的直接數字化成像X光機在行業內獲得快速發展,平板DR昭示著數字化X線機的未來發展方向。2016年:動態數字化X線攝影技術(動態DR):突破影像技術限制,研發出動態平板探測器,可實現連續多幀攝影,并通過硬件、軟件與圖像算法的協同,輸出高對比度和分辨率的動態影像。
相較于常規數字化X線攝影技術,動態DR進一步擴寬了X線片的臨床篩查與診斷應用范圍、思路與實踐,伴隨影像精準診斷的時代新要求,動態DR成為DR領域未來的發展方向!
動態DR的臨床優勢
更加精準的臨床診斷
與傳統平板DR相比,動態DR具有可視化操作的功能,能解決傳統DR不能解決的問題,減少漏診誤診,提高臨床診斷的精準性。
由于常規靜態數字化X線檢查是基于二維解剖平面成像,導致在對于重疊病灶、微小模糊病灶、隱匿性病灶、粘連等問題無法進行精準診斷,動態DR通過多角度動態實時影像實現全方位觀察,能更好的發現病灶并進行相關疾病的治療。

更加豐富的臨床應用
動態DR集常規拍片、胃腸、透視、造影于一體,可應用于臨床各科室,如體檢科、內科、外科、骨科、急診科等,臨床用途更加廣泛。
不同于常規靜態DR只能進行平片攝影檢查,動態DR可以滿足多種臨床檢查需求,包括靜態檢查、透視檢查、造影檢查、脊柱及下肢全長拼接檢查,相較于靜態DR具有豐富的臨床應用,且動態DR檢查更精準、直觀,擺位攝片效率極大地提升,大大節省拍片時間。

更多高級智能應用
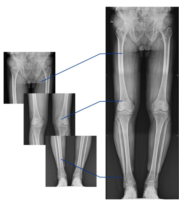
動態DR影像采集幅面大,17×17英寸超大視野,可覆蓋成年人的全胸全腹,并且能在連續動態中實時高清點片,還可以進行視頻保存,在會診過程中可以回放影像檢查視頻,從而達到精準診斷的目的。同時動態DR還具有全身拼接功能,尤其適用于全脊柱和全下肢攝影,輔助脊柱畸形矯形治療、康復檢查,為臨床提供高精度圖像。

滿足多層次醫院診斷需求
動態DR的多功能、超性價比的特點也讓其在應用上可以滿足多層級醫院的普放診斷需求。隨著分級診療制度的推進,對基層醫療機構的醫療服務能力提出了更高要求,而常規靜態DR已經不能滿足多類病種的基層首診需求,動態DR的多功能融合設計則為基層醫療機構這一矛盾提供了解決方案。
助力新冠疫情篩查
在新冠疫情防控方面,動態DR也有著獨特的優勢。相較于常規靜態DR,動態DR透視下成像,提供的診斷信息更豐富。此外,動態DR具備隔室遠程操控的特點,同時通過智能擺位和旋轉腳踏等功能,避免操作醫生與患者的接觸,降低感染風險。

普利德動態DR產品系列
隨著動態數字化X線攝影技術的進一步發展,動態DR有望全面取代常規靜態DR,從根本上改變普通數字化X線攝影漏診與誤診的臨床弊端,極大提升DR診斷的精準性。普利德醫療引領行業發展趨勢,擁有雙立柱動態DR、U臂動態DR等多種常用動態DR類型,組成了類型豐富的動態DR產品線,全面滿足不同層級醫院的普放診斷需求。