發布時間:2022-09-17 瀏覽:3342 次
車載DR是DR設備中的一個細分種類,專用于體檢車、醫療車等特殊車輛上。其構成與在醫院常見的DR基本相同,主要由X射線發生器(裝置)、成像裝置、高壓發生器以及支架等構成。但相比科室DR更為便捷,能夠實現不同外部場景的快速便捷體檢。
相較于科室DR,車載DR曝光功率較小,只需要220V電源功率即可正常曝光,同時曝光次數更多,輻射劑量更小,而且有相當不錯的抗震效果,在體檢車上定制車載DR能高效完成放射類體檢項目。

普利德車載DR采用微型緊湊式機身設計,結構緊湊、靈動小巧,有效節省車內空間,適用于多種車型的安裝布局,科學合理的減震設計,可有效應對車輛急停、晃動、顛簸等復雜路況。
卓越的影像鏈配置是獲得優質影像的有力保障:普利德車載DR采用高頻高壓發生器、大熱容量球管確保穩定、精確的射線輸出;17X17英寸大尺寸無線平板探測器,更大的視野范圍,更高的靜態空間分辨率,確保呈現清晰影像。


同時,多種智能化設計可大幅提升檢查效率。比如,球管與胸片架聯動,方便快捷;腳踏板可縱向移動30公分,患者無需移動就可以完成其他部位檢查;標配AEC自動曝光控制功能,智能控制感光量等。
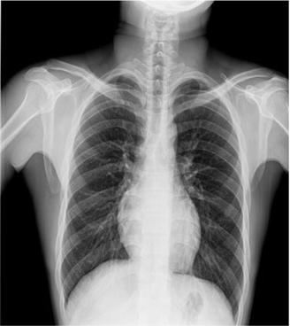
普利德車載DR可進行胸部等部位的X射線數字攝影檢查,滿足大規模體檢及傳染疾病控制需求,尤其在重大疫情預防等應急檢查工作中具有突出優勢,為各級醫療機構快速應對突發性公共衛生事件提供強大助力,實力護航健康之路。